ZFdows Bio Co.,Ltd
南京知凡生物技术有限公司

025-68027363
产品分类
  • 细胞污染检测除菌
    支原体清除系列
    支原体清除
    支原体预防
    黑胶虫污染清除
    黑胶虫清除
    黑胶虫预防
    耐药细菌类处理
    细胞除菌剂
    耐药菌清除
    杆菌清除
    真菌污染处理
    霉菌清除剂
    念珠菌清除剂
    原代细胞污染处理
    原代细胞保护剂
    支原体污染检测
    PCR法
    染色法
  • 细胞培养环境抑菌
    细胞房除菌剂
    培养箱除菌剂
    培养箱水盘抑菌剂
    水浴锅抑菌剂
    支原体清除喷剂
    动物房除味剂
  • 细胞荧光探针系列
    细胞器荧光探针
    细胞核荧光染料
    细胞质荧光染料
    细胞膜荧光染料
    细胞骨架荧光染料
    线粒体荧光染料
    高尔基体荧光染料
    内质网荧光染料
    溶酶体荧光染料
    外泌体荧光探针
    离子荧光探针
    钙离子荧光探针
    氯离子荧光探针
    活性氧检测探针
    细胞检测试剂盒
    细胞凋亡检测
    细胞周期检测
    报告基因检测
    CCK-8检测试剂盒
  • 抗体蛋白相关产品
    一抗-Primary Antibody
    Rabbit Antibody
    Mouse Antibody
    磷酸化抗体
    外泌体标志物抗体
    细胞因子抗体
    Cas9抗体
    线粒体标志物抗体
    SARS-CoV-2相关抗体
    内质网标志物抗体
    溶酶体标志物抗体
    高尔基体标志物抗体
    细胞膜标志物抗体
    核糖体标志物抗体
    细胞质标志物抗体
    细胞骨架标志物抗体
    内含体标志物抗体
    中心体标志物抗体
    自噬体标志物抗体
    黑色素标志物抗体
    细胞核标志物抗体
    过氧物酶体标志物抗体
    泛素化抗体
    神经元标志物抗体
    AKT信号通路抗体
    MAPK信号通路抗体
    GTP酶抗体
    内参抗体-Loading Control Antibody
    精品HRP直标内参
    热销内参抗体
    二抗-Secondary Antibody
    标签抗体-Tag Antibody
    人源化修饰标签抗体
    兔抗标签抗体
    鼠抗标签抗体
    蛋白免疫相关产品
    免脱色快速蛋白染色液
    蛋白酶
    抗体稀释液
    Elise相关试剂
    ECL显影液-WesternBright ECL
    蛋白maker-Protein Standards
  • 细胞库及相关试剂
    细胞库
    人源
    小鼠
    大鼠
    仓鼠
    其他
    细胞培养添加剂
    细胞组织冻存保存液
    胶原蛋白&胶原酶
    细胞转染试剂
  • 分子克隆相关产品
    重组与克隆
    Gateway克隆
    无缝克隆
    微量基因组提取
    组织RNA保存
    核酸污染清除
    PCR Mix系列
    普通PCR Mix
    高保真PCR Mix
    植物组培抑菌剂
    常规质粒
  • 诊断抗原抗体原料
    IVD优筛抗体原料
    炎症因子
    肿瘤标志物
    重组蛋白和细胞因子
产品导航
在线客服
 工作时间
周一至周五 :8:30-17:30
周六至周日 :9:00-17:00
 联系方式
销售热线:18321267217
客服热线:025-68027363
邮箱:sales@zfdows.com
产品详情

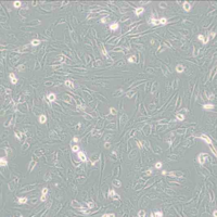
786-0(人肾透明细胞腺癌细胞,STR)

价格:
800.00
规格: 1x10^6 cells
货号: TC0490
品牌: ZoFtic
产品详情
相关产品
产品说明书


一、细胞基本特性

  • 来源:58岁男性原发性肾透明细胞癌,具有微绒毛和桥粒结构,可在软琼脂中生长。

  • 分子特征:分泌PTH样多肽(分子量≈6000 Da),与乳腺癌、肺癌中肽段相似,具有类似PTH的活性。

  • 形态与生长:上皮细胞样,贴壁松散(操作需轻柔),密度过大时部分细胞易漂浮。

  • 生物安全等级:1级(常规实验操作)。

  • 核心应用:肾癌机制研究(如PI3K/AKT信号通路)、药物敏感性测试(如LY294002抑制实验)。

二、培养条件与试剂

  1. 培养基配方

    • 基础液:90%RPMI-1640+10%胎牛血清(FBS) + 1%青霉素/链霉素双抗。

    • 优化建议:若贴壁不稳定,补充1% L-谷氨酰胺(2mM)。

  2. 培养环境

    • 温度:37℃;气体:95%空气 + 5% CO₂;湿度:70%-80%。

  3. 包被处理(可选)

    • 使用0.5%多聚赖氨酸预铺培养皿,增强贴壁效率。

冻存液配方对比表

配方

适用场景

细胞密度

90% FBS + 10% DMSO

高存活率长期保存

5×10⁶~1×10⁷ cells/mL

80%培养基+10% FBS+10% DMSO

经济型冻存

同左

基础培养基+20% FBS+8% DMSO

部分供应商推荐

同左

三、关键操作流程

1. 细胞复苏(冻存管→培养)

  • 快速解冻:37℃水浴摇晃≤1分钟(残留小冰晶时取出),避免完全融化。

  • 离心去DMSO

    • 加4-6 mL预热培养基稀释,1000 rpm离心4分钟,彻底弃上清(DMSO抑制贴壁)。

  • 接种与培养

    • 重悬细胞,接种至T25瓶(或6 cm皿),补足6-8 mL培养基,37℃静置过夜。

    • 首次换液:24小时后更换新鲜培养基,清除死细胞碎片。

2. 细胞传代(贴壁处理)

  • 密度达80%-90%(约2-3天一次)。

  • 消化控制(核心步骤)

    • 弃旧液,PBS(无Ca²⁺/Mg²⁺)清洗1-2次。

    • 加1 mL胰酶-EDTA(0.25%胰酶+0.53 mM EDTA),37℃消化1-2分钟(显微镜下见细胞变圆即终止,过度消化导致死亡漂浮)。

  • 终止与分瓶

    • 加2-3 mL含血清培养基终止消化,轻柔吹打≤20次(避免机械损伤)。

    • 离心后按 1:2~1:5 分瓶(首次建议1:2)。

3. 细胞冻存(程序降温)

  • 收集细胞:按传代步骤消化离心,调整密度至5×10⁶~1×10⁷ cells/mL。

  • 冻存步骤

    • 用冻存液重悬,分装至冻存管(每管1-1.5 mL)。

    • 程序降温:4℃ 10min → -20℃ 2h → -80℃过夜 → 液氮长期保存。

四、关键注意事项

  1. 贴壁松散控制

    • 换液时沿瓶壁加液,避免直接冲刷细胞;传代后静置4小时再移动培养瓶。

    • 脱落细胞需离心回收重用(传代时合并悬浮细胞)。

  2. 污染防控

    • 禁用运输培养基,首次换液必须使用新配完全培养基。

    • 收货后前3天每日拍照(10×/20×显微照片)。

  3. 消化过度修复

    • 若细胞传代后漂浮死亡,缩短下次消化时间至1分钟内,并降低胰酶浓度。

  4. 血清批间差处理

    • 选定批次血清后囤积半年用量,避免因批间差异导致聚团或贴壁不良。

五、常见问题解决

问题

原因与解决方案

细胞不贴壁

检查血清活性或补充L-谷氨酰胺

传代后大量漂浮

消化过度 → 缩短时间至≤90秒;吹打力度过猛 → 限制吹打次数

生长缓慢

验证CO₂稳定性;优化传代密度至1:3

药物处理后成片脱落

若为LY294002等抑制剂作用,可能是药效标志(非操作失误)

首页                     热卖资讯                      行业资讯                      联系我们                 友情链接
我们: 025-68027363
公司地址:江苏省南京市高新区中丹产业园722室
在线客服
 
 
——————
热线电话
025-68027363
淘宝店铺
website qrcode

淘宝店铺

登录
登录
我的资料
留言
回到顶部